AFF identified on hip DXA
Figure 1A: Left hip DXA

Figure 1B: Right hip DXA

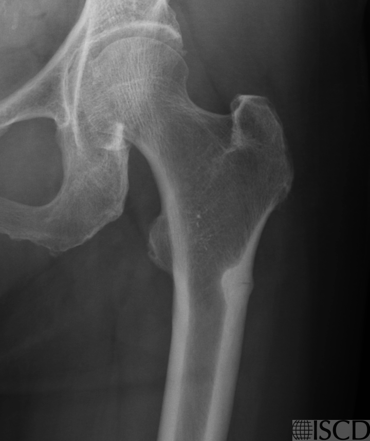
Figure 2A: Left hip x-ray

Case Description:
84 year old Asian female with 10 years of oral bisphosphonate therapy due to low bone mass (osteopenia) and breast cancer (aromatase inhibitor therapy). Left hip DXA image shows localized endosteal reaction lateral subtrochanteric femur, more prominent on the left side. Subsequent x-rays confirmed an incomplete left atypical femur fracture (AFF) with “dreaded black line” (no x-ray of the right hip available).
Credit: William D. Leslie, MD FRCPC MSc CCD, University of Manitoba
References:
1. Radiological criteria for atypical features of femur fractures: what we can learn when applied in a clinical study setting.
LeBlanc ES, Rosales AG, Genant HK, Dell RM, Friess DM, Boardman DL, Santora AC, Bauer DC, de Papp AE, Black DM, Orwoll ES.
Osteoporos Int. 2019 Jun;30(6):1287-1295. doi: 10.1007/s00198-019-04869-z. Epub 2019 Feb 26.
PMID: 30809724
2. Evaluating Atypical Features of Femur Fractures: How Change in Radiological Criteria Influenced Incidence and Demography of Atypical Femur Fractures in a Community Setting.
LeBlanc ES, Rosales AG, Black DM, Genant HK, Dell RM, Friess DM, Boardman DL, Bauer DC, de Papp A, Santora AC, Orwoll ES.
J Bone Miner Res. 2017 Nov;32(11):2304-2314. doi: 10.1002/jbmr.3221. Epub 2017 Aug 14.
PMID: 28731209
3. Atypical subtrochanteric and diaphyseal femoral fractures: second report of a task force of the American Society for Bone and Mineral Research.
Shane E, Burr D, Abrahamsen B, Adler RA, Brown TD, Cheung AM, Cosman F, Curtis JR, Dell R, Dempster DW, Ebeling PR, Einhorn TA, Genant HK, Geusens P, Klaushofer K, Lane JM, McKiernan F, McKinney R, Ng A, Nieves J, O’Keefe R, Papapoulos S, Howe TS, van der Meulen MC, Weinstein RS, Whyte MP.
J Bone Miner Res. 2014 Jan;29(1):1-23. doi: 10.1002/jbmr.1998. Epub 2013 Oct 1.
PMID: 23712442